Ivan Maldonado Online

Mulher morre após carregar feto calcificado no intestino por nove anos

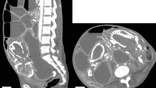
Reprodução/BMC Women's Health

Uma mulher, de 50 anos, morreu depois de ficar nove anos com um feto calcificado dentro do intestino. Isso acabou a levando à desnutrição. As informações são da revista científica BMC Women’s Health.

Conforme o estudo do caso, a paciente era uma refugiada congolesa que apresentava sintomas persistentes de dor abdominal, gases e sensação de “borbulhar” logo após fazer as refeições. 

As autoridades informaram que a mulher tinha um certo receio em buscar ajuda, pois, quando estava na Tanzânia, foi maltratada pelos médicos logo após perder o bebê devido a um aborto espontâneo. Devido a isso, ela nunca mais frequentou o sistema de saúde. Este seria o nono filho da mulher.

Ao chegar nos Estados Unidos, exames de imagem confirmaram que se tratava de um caso de litopédio, que é quando o feto se desenvolve no abdômen e não no útero, gerando a calcificação. Essa complicação da gravidez é extremamente rara e pode permanecer assintomática.

Após o diagnóstico, foi indicado que ela passasse por uma cirurgia para retirar o feto e assim desobstruir o intestino. No entanto, por medo do procedimento, ela recusou e acabou morrendo por desnutrição 14 meses após chegar ao país. Isso ocorreu porque a presença do feto impedia a absorção eficiente de nutrientes e comprimia os demais órgãos.

Com informações do Portal G1

(Mais notícias do Mundo)

Essa complicacao da gravidez e rara

LEIA TAMBÉM:

Rolar para cima